
- Gastric pits (위 구멍): 위 점막에 움푹 들어간 구멍을 말함.
- Lamina propria: connective tissue을 의미. 구조적으로 지지해주는 부분. 면역세포 존재.

Gastric gland은 위치에따라서, gastric pit, neck, base로 구분

- Parietal cell (벽세포): gland 중간에 위치하는 세포. 염산분비(HCl), 내인성 인자(Intrinsic factor) 분리
- Chief cell (주세포): gland 하부에 위치. Pepsinogen 분비. Chief cell의 핵은 내강(lumen)의 반대방향으로 위치해있음.
- Mucous neck cells (점액목세포): gland 상단에 위치. 산성 점액 분비.
- Enteroendocrine cells (내분비세포): 호르몬을 분비(예, 가스트린)
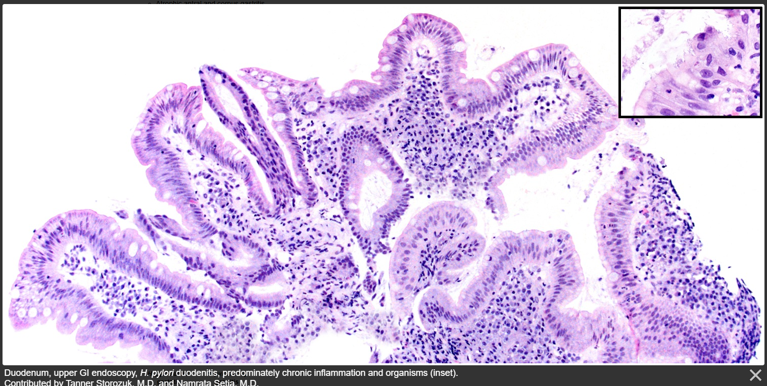
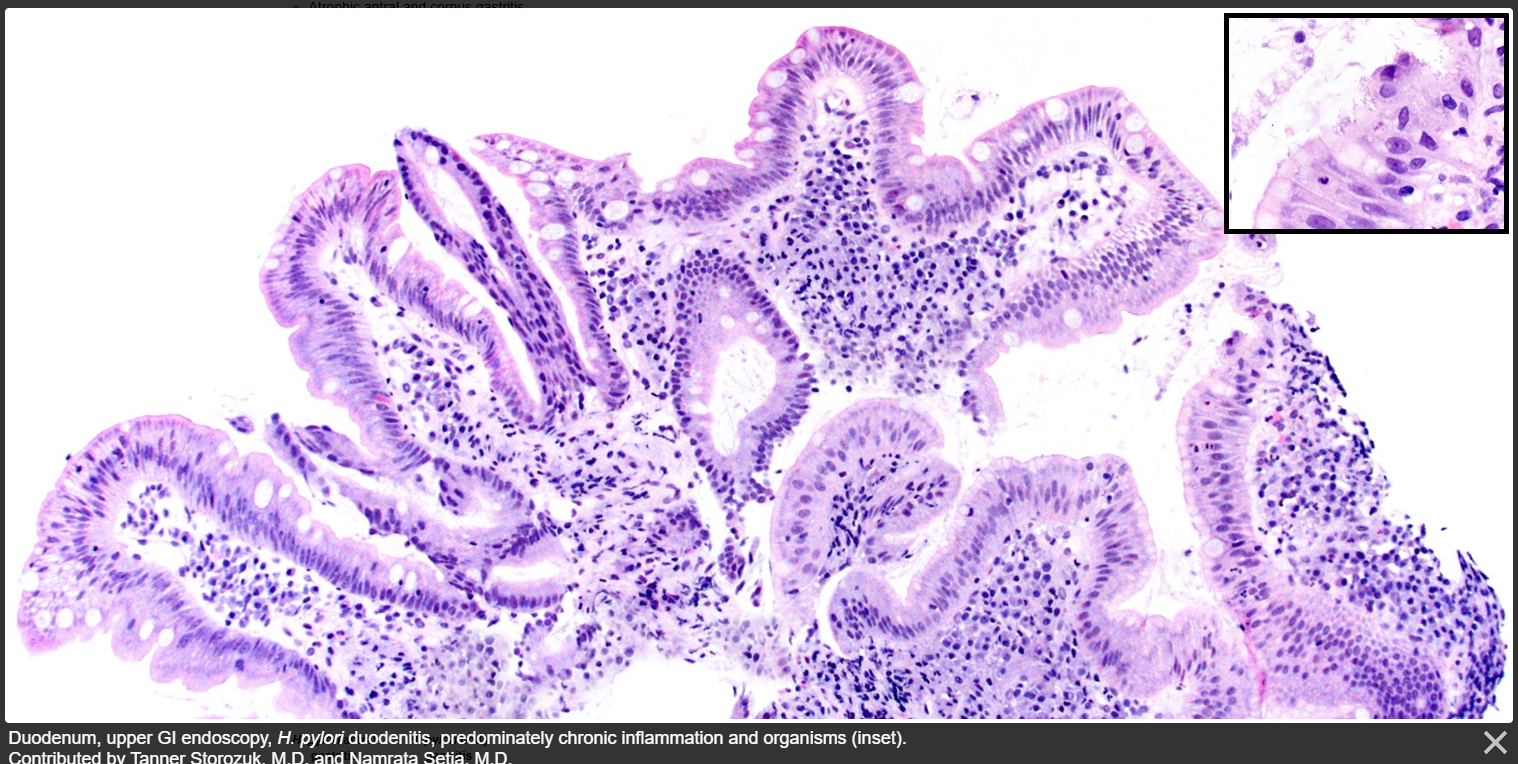
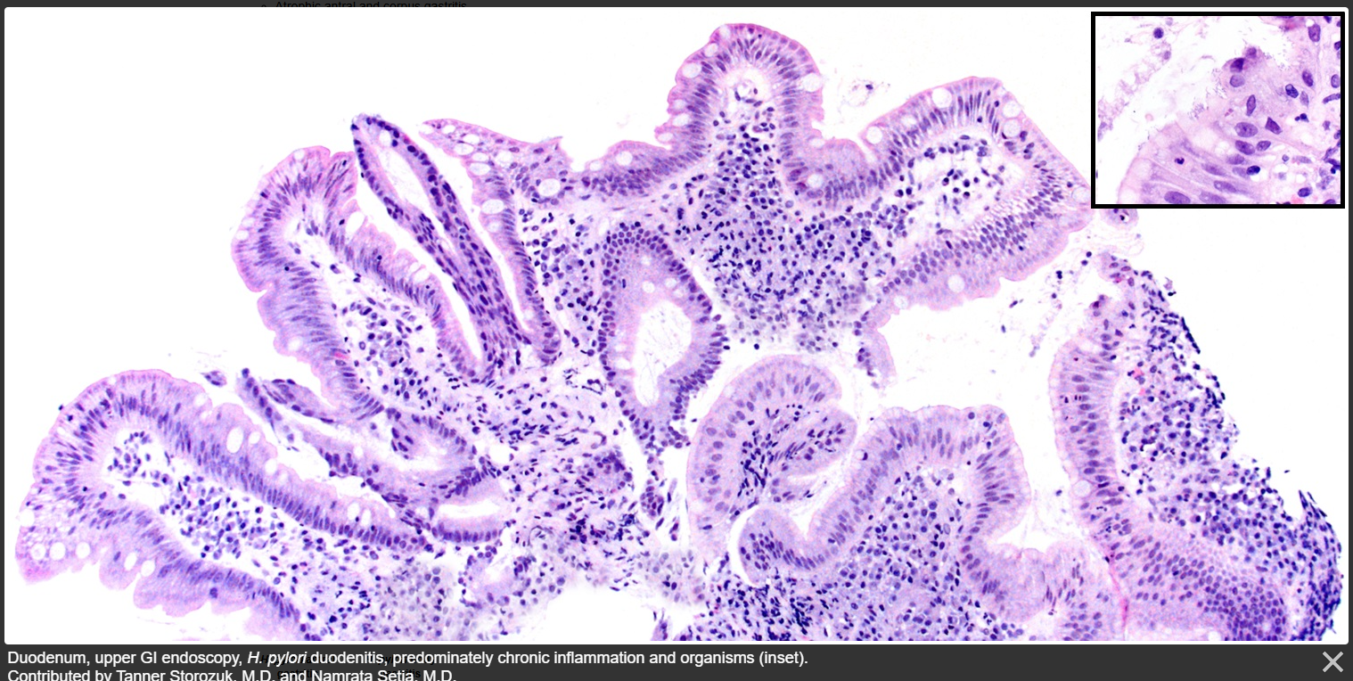
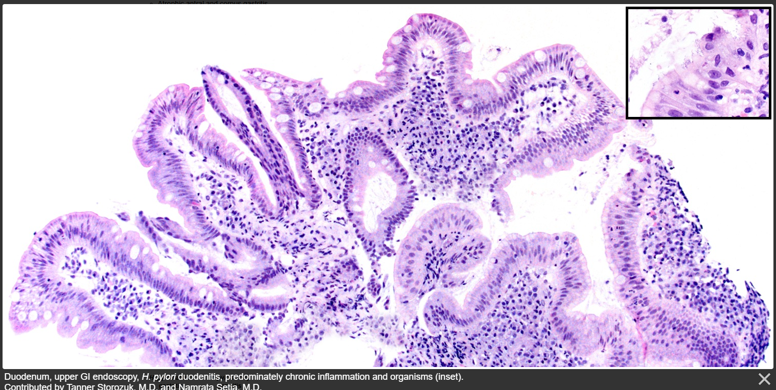
H.pylori


https://courses.lumenlearning.com/suny-ap2/chapter/the-stomach/
The Stomach | Anatomy and Physiology II
Learning Objectives By the end of this section, you will be able to: Label on a diagram the four main regions of the stomach, its curvatures, and its sphincter Identify the four main types of secreting cells in gastric glands, and their important products
courses.lumenlearning.com
반응형
'Digital pathology' 카테고리의 다른 글
| Do Multiple Instance Learning Models Transfer (0) | 2025.06.23 |
|---|---|
| HistoGPT (0) | 2025.06.15 |
| An Interpretable Multilabel Deep Learning Framework for theSimultaneous Assessment of Multiple Indicators (0) | 2025.03.04 |
| [5분 컷 이해] Kappa score 란? (0) | 2025.02.24 |
| FA (Follicular Adenoma) 여포성 선종 vs FC (Follicular Carcinoma) 여포성 암 (0) | 2025.02.22 |