Human breast tissue
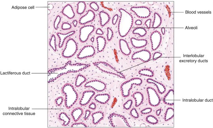
- 소엽(Loublar): 여러 신체에서 볼 수 있는 구조적인 작은 단위. 보통 엽은 한자에서 "잎"을 의미하나 , 의학에서는 작은 구조적인 단위를 의미
- Mammary duct: Terminal ductal lobular unit(TDLU)로부터 모유가 나오는데 그 모유가 나오는 관을 Mammary duct라고함.
- Terminal Ductal Lobular Unit (TDLU): 유선(mammary duct)의 끝 부분에 위치하여 모유를 생산하는 작은 단위

- Acini(Ductules, 소낭): 분비기관에서의 작은 구조적 단위. 분비세포로 이뤄져있는 구조

TDLU
- Acini (terminal ductules): 동글동글하고, 가운데 빈 공간(lumen)있는 구조물.
- Intralobular stroma (기질): 구조물을 지지하는 역할. intra-lobular기에 lobular내부에 있어 구조를 지지하는 구조물. connective, or adiopose tissue
- Intralobular stomra: lobular외에 있는 지지대 역할을 하는 구조물
- Lactiferous duct(유선): mammary duct. 같은 단어.

그림으로 보면 조금 쉬움.
- Adipose cell: 아무것도 없는 구멍같지만, 지방이 투명해서 투명한 구멍처럼보임. 지방세포
- Blood vessel: RGB가 잘보임
- Alveoli (Acini): 주머니모양. Acini와 같은 말
- Interlobular connective tissue: acini 사이사이로

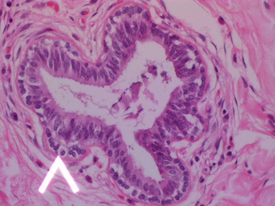
Microscopic anatomy
주요 특징
- TDLU은 2개의 상피세포로 이뤄져있음.
- 내부 레이어는 luminal cell이고, 단층이거나 여러층처럼 보이는 경우가 있음. outer layer은 myoepithelial cell임. 어떤 책에서는 luminal cell들이 columnar layer을 이루고 있다고하는데, 이게 맞을 것(?) 같음. 내부 레이어의 핵은 중앙 또는 하단부에 위치해있음.
- Myoepithelia cell


Reference
https://screening.iarc.fr/atlasbreastdetail.php?Index=005&e=
Atlas of breast cancer early detection
screening.iarc.fr
Atlas of breast cancer early detection
screening.iarc.fr
http://lecannabiculteur.free.fr/SITES/UNIV%20W.AUSTRALIA/mb140/CorePages/Epithelia/Epithel.htm